05:31 ص
السبت 30 نوفمبر 2024
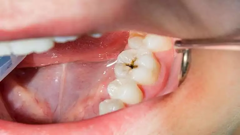
أوضح الدكتور مياسنيكوف، أن تسوس الأسنان ليس مجرد مشكلة تجميلية، بل هو مرض يمكن أن يؤثر سلبًا على الصحة العامة، وفق ” فيستي. رو”.
وأضاف: ” “يعتبر تسوس الأسنان والتهاب اللثة والتهاب دواعم السن (Periodontal diseases) من عوامل الخطر للإصابة بأمراض خطيرة، وخاصة أمراض الأوعية الدموية: احتشاء عضلة القلب والجلطة الدماغية، ويشمل هذا أيضا النقرس والسرطان. أي عندما يكون لدى الشخص نوع من الالتهاب، سيكون مصدرا لبقية المشكلات. والخلاصة هي أنه يجب علاج الالتهابات والتسوس”.
كيف يؤثر تسوس الأسنان على الجسم؟
الالتهاب المزمن: البكتيريا التي تسبب التسوس تسبب أيضًا التهابًا مزمنًا في الفم. هذا الالتهاب لا يقتصر على الفم فقط، بل يمكن أن ينتشر عبر مجرى الدم إلى أعضاء أخرى في الجسم، مما يزيد من خطر الإصابة بأمراض مزمنة.
زيادة خطر الإصابة بأمراض القلب: كما ذكر الدكتور مياسنيكوف، هناك صلة قوية بين أمراض اللثة وأمراض القلب. الالتهاب الناجم عن تسوس الأسنان يمكن أن يؤدي إلى تصلب الشرايين وزيادة خطر الإصابة بالجلطات والسكتات الدماغية.
مشاكل الحمل: النساء الحوامل المصابات بأمراض اللثة أكثر عرضة للولادة المبكرة أو ولادة أطفال بوزن أقل.
ضعف الجهاز المناعي: الالتهاب المزمن الناجم عن تسوس الأسنان يمكن أن يضعف جهاز المناعي، مما يجعل الجسم أكثر عرضة للإصابة بالعدوى.
لماذا لا يدرك الكثيرون خطورة تسوس الأسنان؟
التركيز على الأسنان: غالبًا ما يعتقد الناس أن تسوس الأسنان هو مشكلة محلية تؤثر فقط على الأسنان واللثة.
عدم ظهور أعراض واضحة في المراحل المبكرة: في المراحل المبكرة، قد لا يسبب التسوس أي ألم أو أعراض واضحة، مما يجعل الناس يتجاهلون أهمية العناية بالأسنان.
كيف نحمي أنفسنا؟
النظافة الفموية الجيدة: تنظيف الأسنان بالفرشاة والمعجون مرتين يوميًا، واستخدام الخيط الدنتي، والفحوصات الدورية لدى طبيب الأسنان.
تغذية صحية: تجنب الأطعمة السكرية والحمضية التي تغذي البكتيريا المسببة للتسوس.
العلاج المبكر لأمراض اللثة: إذا لاحظت أي أعراض مثل نزيف اللثة أو احمرارها، فاستشر طبيب الأسنان على الفور.
