Close Menu
  • الاخبار
    • اخبار الخليج
    • اخبار السعودية
    • اخبار العالم
    • اخبار المغرب العربي
    • اخبار مصر
  • المال والأعمال
  • التقنية
  • الرياضة
  • السياحة والسفر
  • الصحة والجمال
  • المزيد
    • ترشيحات المحرر
    • الموضة والأزياء
    • ثقافة وفنون
    • منوعات
فيسبوك X (Twitter) الانستغرام
الخليج العربي
  • الاخبار
    • اخبار الخليج
    • اخبار السعودية
    • اخبار العالم
    • اخبار المغرب العربي
    • اخبار مصر
  • المال والأعمال
  • التقنية
  • الرياضة
  • السياحة والسفر
  • الصحة والجمال
  • المزيد
    • ترشيحات المحرر
    • الموضة والأزياء
    • ثقافة وفنون
    • منوعات
الرئيسية»غير مصنف»علامة في الأسنان تدل على الإصابة بأورام الكلى والسكتة الدماغية.. انتبه لصحتك
غير مصنف

علامة في الأسنان تدل على الإصابة بأورام الكلى والسكتة الدماغية.. انتبه لصحتك

الهام السعديبواسطة الهام السعدي12 فبراير، 20252 دقائق
فيسبوك تويتر بينتيريست تيلقرام لينكدإن Tumblr واتساب البريد الإلكتروني
شاركها
فيسبوك تويتر لينكدإن بينتيريست تيلقرام البريد الإلكتروني

صحة

الأخبار المتعلقة

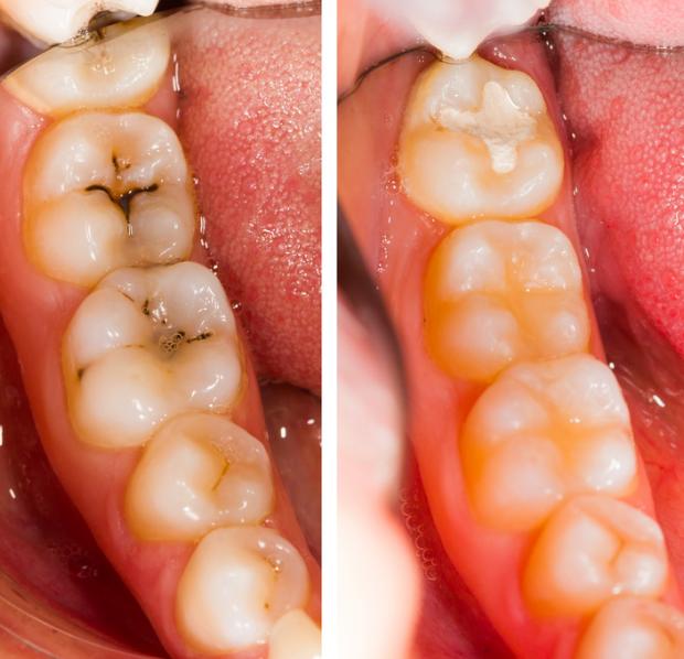
الاهتمام بصحة الأسنان، ومنع التسوس أو الأمراض المتعلقة بالأسنان لا تقتصر على الظهور بشكل مميز، وابتسامة جذابة وصحية فقط، فحسب، بل له القدرة على منع العديد من الأمراض التي قد تصيبك، فتكون علامة التسوس تسبب الإصابة بأورام الكلى والسكتة الدماغية، وغيرها من الأمراض، وفقًا لما أشارت إليه وزارة الصحة والسكان المصرية.

تدهور صحة الأسنان تسبب السكتة الدماغية

وأكدت وزارة الصحة والسكان المصرية، في حسابها الرسمي، أنّ صحة الجسم من صحة الفم، إذ استندت الوزارة على الدراسات العلمية الحديثة، التي تؤكد أن نظافة الفم والأسنان تؤثر على صحة العديد من أجهزة الجسم وعلى رأسها القلب والدماغ.

وأوضحت أن البكتريا المسببة في تسوس الأسنان والتهابات اللثة تتسبب في حدوث أزمات قلبية، وسكتة دماغي، فضلًا عن ارتفاع ضغط الدم، مرض السكر، الولادة المبكرة، أورام الكلى والبنكرياس والتهابات العيون والمفاصل.

كيفية تنظيف الأسنان بشكل سليم؟

ضرورة غسل الأسنان مرتين يوميًا على الأقل بشكل صحيح وخصوصا قبل النوم.

استخدام كمية مناسبة من معجون أسنان يحتوي على الفلورايد ويجب ألا تزيد الكمية المستخدمة على حجم حبة البازلاء.

يجب الانتباه إلى عدم تبليل فرشاة الأسنان بالماء قبل غسل الأسنان.

توضع الفرشاة على الأسنان بزاوية 45 درجة.

نبدأ بغسل الأسنان ابتداءَ من خط اللثة باتجاه السطح الماضغ للسن بحركة دائرية لطيفة.

ننتقل إلى السطح الداخلي للسن ونكرر نفس الحركة.

ننتقل إلى السطح الماضغ للسن ونقوم بغسله بحركة دائرية.

نقوم بغسل الأسنان الأمامية العلوية من الداخل بحركة سحب للأسفل، والأسنان الأمامية السفلية من الداخل بحركة سحب للأعلى.

عند الانتهاء من غسل الأسنان نقوم بتمرير الفرشاة على اللسان بشكل لطيف من أجل إزالة الجراثيم وإعطاء رائحة زكيه للفم.

يفضل استخدام الخيط السني للتنظيف ما بين الأسنان مرة يوميا على الأقل.

يفضل استبدال فرشاة الأسنان كل 3 أشهر أو عند رؤية تغيير في شكل أو انتظام شعيراتها. 


شاركها. فيسبوك تويتر بينتيريست لينكدإن Tumblr البريد الإلكتروني

المقالات ذات الصلة

فاراداي فيوتشر تطلق سلسلة منتجاتها من الروبوتات في لاس فيغاس خلال معرض NADA السنوي، وتستهدف أن تصبح أول شركة أمريكية تقوم بتسليم روبوتات بشرية ورباعية الأرجل في الوقت نفسه

7 فبراير، 2026

فاراداي فيوتشر تستعرض منظومة مركباتها المدعومة بالذكاء الاصطناعي واستراتيجيتها في مجال الروبوتات الذكية خلال معرض UMEX 2026 في أبوظبي

25 يناير، 2026

فاراداي فيوتشر تكشف خارطة طريق FX Super One للإنتاج التجاري والمبيعات والتسليم وخدمات ما بعد البيع، وتعلن دخولها قطاع الروبوتات المدعومة بالذكاء الاصطناعي

10 يناير، 2026

مراجعة Colbari.com: أساليب الاحتيال الشائعة في تداول عقود الفروقات CFDs

8 يناير، 2026

«تسوّق أي شيء» عبر «واتساب»: «سوبرتشات» يقرّب الإمارات خطوة جديدة نحو إدارة متكاملة للحياة اليومية بمحادثة واحدة

30 ديسمبر، 2025

فاراداي فيوتشر الشرق الأوسط توقّع مذكرة تفاهم استراتيجية مع واحة رأس الخيمة للأصول الرقمية وتحتفي بتسليم مركبة FX Super One

24 ديسمبر، 2025
اقسام الموقع
  • اخبار التقنية (5٬646)
  • اخبار الخليج (33٬769)
  • اخبار الرياضة (50٬659)
  • اخبار السعودية (25٬338)
  • اخبار العالم (28٬627)
  • اخبار المغرب العربي (28٬692)
  • اخبار مصر (3٬060)
  • اقتصاد (1)
  • الاخبار (11٬852)
  • السياحة والسفر (50)
  • الصحة والجمال (17٬091)
  • المال والأعمال (348)
  • الموضة والأزياء (309)
  • ترشيحات المحرر (5٬003)
  • تكنولوجيا (7)
  • ثقافة وفنون (80)
  • غير مصنف (28٬611)
  • منوعات (4٬759)
© 2026 الخليج العربي. جميع الحقوق محفوظة.
  • سياسة الخصوصية
  • اتصل بنا

اكتب كلمة البحث ثم اضغط على زر Enter