Close Menu
  • الاخبار
    • اخبار الخليج
    • اخبار السعودية
    • اخبار العالم
    • اخبار المغرب العربي
    • اخبار مصر
  • المال والأعمال
  • التقنية
  • الرياضة
  • السياحة والسفر
  • الصحة والجمال
  • المزيد
    • ترشيحات المحرر
    • الموضة والأزياء
    • ثقافة وفنون
    • منوعات
فيسبوك X (Twitter) الانستغرام
الخليج العربي
  • الاخبار
    • اخبار الخليج
    • اخبار السعودية
    • اخبار العالم
    • اخبار المغرب العربي
    • اخبار مصر
  • المال والأعمال
  • التقنية
  • الرياضة
  • السياحة والسفر
  • الصحة والجمال
  • المزيد
    • ترشيحات المحرر
    • الموضة والأزياء
    • ثقافة وفنون
    • منوعات
الرئيسية»غير مصنف»علامات شائعة تشير إلى الإصابة بورم خطير في الدماغ
غير مصنف

علامات شائعة تشير إلى الإصابة بورم خطير في الدماغ

الهام السعديبواسطة الهام السعدي23 مايو، 20252 دقائق
فيسبوك تويتر بينتيريست تيلقرام لينكدإن Tumblr واتساب البريد الإلكتروني
شاركها
فيسبوك تويتر لينكدإن بينتيريست تيلقرام البريد الإلكتروني

صحة

الأخبار المتعلقة

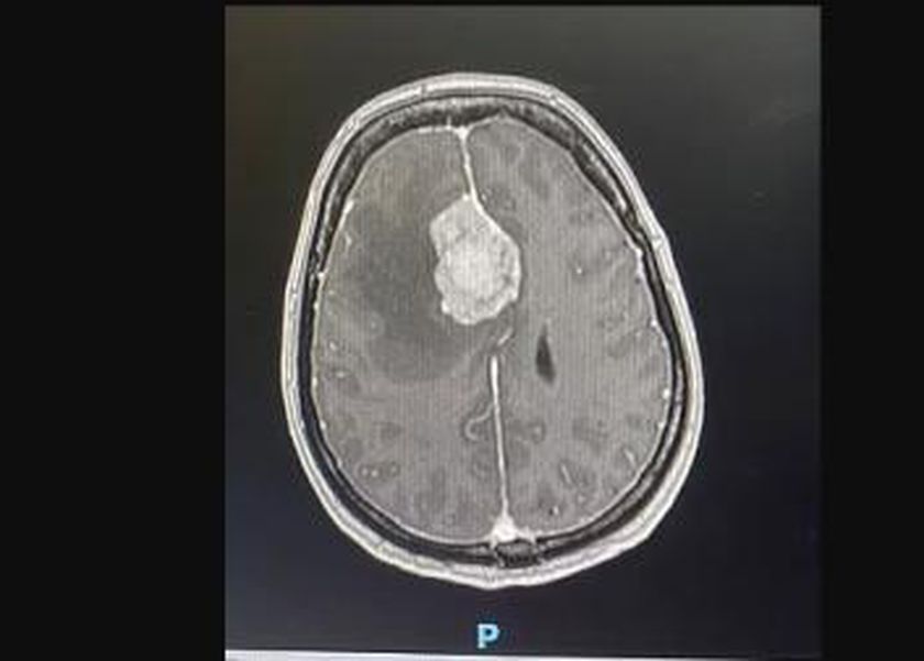
أعراض بسيطة لسيدة في عامها الـ60، كشفت عن إصابة بالورم السحائي، بدأت بنوبات الدوار ومشاكل في التوازن، وإرهاق شديد، شُخّصت في البداية التهاب التيه، وهو مرض يصيب الأذن الداخلية ويؤثر على السمع والتوازن، وعادةً ما يتحسن دون علاج خلال أيام أو أسابيع مع المضادات الحيوية، لكنها لم تتحسن، بل بدأت حالتها تزداد سوءًا.

وقالت صحيفة «ديلي ميل» البريطانية، إنه في مارس 2023، كشفت الفحوصات عن السبب الحقيقي للأعراض، وهو إصابة السيدة وهي سباحة سابقة، بورم سحائي (مينينجيومًا) – وهو ورم ينمو في الأغشية المحيطة بالدماغ.

وشرحت ابنتها الأمر: «أصبحت والدتي منهكة تمامًا من التعب، وكانت تصف شعورها كما لو أن أحدهم بحاجة إلى حفر جانب رأسها لتخفيف الضغط، وخضعت لعملية جراحية لإزالة الورم، ثم جلسات علاج إشعاعي، ولا تزال تُتابع حالتها من خلال فحوصات منتظمة».

ما الورم السحائي وكيف يُعالج؟

الورم السحائي يبدأ في طبقة الأنسجة المحيطة بالدماغ والحبل الشوكي، وتُعرف بـالسحايا، وعادةً ما ينمو الورم السحائي ببطء، ولهذا قد لا تكون الأعراض واضحة في البداية، لكن مع نموه، يمكن أن يضغط على المناطق القريبة من الدماغ، ما يؤدي إلى أعراض ذكرتها منظمة «الصحة العالمية»، وموقع «webmd» الطبي، كالتالي:

الصداع

مشاكل في التوازن

ضعف في الذراع أو الساق

تغيرات في البصر

صعوبة في الكلام أو البلع

تغيرات في الشخصية

ارتباك ذهني

نوبات صرع (تشنجات)

الغثيان أو القيء

ووفقًا لبيانات مركز أبحاث السرطان في المملكة المتحدة، فإن نحو ربع حالات أورام الدماغ البالغ عددها نحو 13 ألفا سنويًا في المملكة المتحدة، يعانون من أورام سحائية.

العلاج من الورم السحائي

تختلف طرق علاج الورم السحائي بحسب حجمه، موقعه، وطبيعة الحالة الصحية العامة للمريض، وتتمثل الخيارات العلاجية في ما يلي:

1- الجراحة

تُعد الجراحة الخيار العلاجي الأساسي لمعظم الأورام السحائية، حيث يجري استئصال الورم بالكامل قدر الإمكان، وتعتمد صعوبة العملية على موقع الورم، ومدى قربه من مناطق الدماغ الحيوية، إذ قد يصعب إزالة الورم كليًا دون التأثير على هذه المناطق.

2- المتابعة والمراقبة

في بعض الحالات، يكون الخيار الأنسب هو الاكتفاء بالمراقبة الدورية للورم، خاصة إذا كان صغير الحجم ولا يُسبب أعراضًا واضحة.

ويُستخدم هذا الخيار أيضًا عندما يشكّل التدخل الجراحي خطرًا على المريض، إما بسبب حالته الصحية أو لأن إزالة الورم بالكامل غير ممكنة.

3- العلاج الإشعاعي

يُستخدم العلاج الإشعاعي كخيار بديل أو مكمّل للجراحة، ويشمل:

الإشعاع التقليدي

الإشعاع الجراحي (Stereotactic Radiosurgery): وهو خيار فعال لعلاج الأورام الواقعة في مناطق يصعب الوصول إليها جراحيًا.


شاركها. فيسبوك تويتر بينتيريست لينكدإن Tumblr البريد الإلكتروني

المقالات ذات الصلة

فاراداي فيوتشر تطلق سلسلة منتجاتها من الروبوتات في لاس فيغاس خلال معرض NADA السنوي، وتستهدف أن تصبح أول شركة أمريكية تقوم بتسليم روبوتات بشرية ورباعية الأرجل في الوقت نفسه

7 فبراير، 2026

فاراداي فيوتشر تستعرض منظومة مركباتها المدعومة بالذكاء الاصطناعي واستراتيجيتها في مجال الروبوتات الذكية خلال معرض UMEX 2026 في أبوظبي

25 يناير، 2026

فاراداي فيوتشر تكشف خارطة طريق FX Super One للإنتاج التجاري والمبيعات والتسليم وخدمات ما بعد البيع، وتعلن دخولها قطاع الروبوتات المدعومة بالذكاء الاصطناعي

10 يناير، 2026

مراجعة Colbari.com: أساليب الاحتيال الشائعة في تداول عقود الفروقات CFDs

8 يناير، 2026

«تسوّق أي شيء» عبر «واتساب»: «سوبرتشات» يقرّب الإمارات خطوة جديدة نحو إدارة متكاملة للحياة اليومية بمحادثة واحدة

30 ديسمبر، 2025

فاراداي فيوتشر الشرق الأوسط توقّع مذكرة تفاهم استراتيجية مع واحة رأس الخيمة للأصول الرقمية وتحتفي بتسليم مركبة FX Super One

24 ديسمبر، 2025
اقسام الموقع
  • اخبار التقنية (5٬965)
  • اخبار الخليج (34٬479)
  • اخبار الرياضة (51٬866)
  • اخبار السعودية (25٬966)
  • اخبار العالم (29٬334)
  • اخبار المغرب العربي (29٬402)
  • اخبار مصر (3٬054)
  • اقتصاد (1)
  • الاخبار (12٬570)
  • السياحة والسفر (47)
  • الصحة والجمال (17٬520)
  • المال والأعمال (339)
  • الموضة والأزياء (301)
  • ترشيحات المحرر (5٬036)
  • تكنولوجيا (5)
  • ثقافة وفنون (76)
  • غير مصنف (29٬331)
  • منوعات (4٬750)
© 2026 الخليج العربي. جميع الحقوق محفوظة.
  • سياسة الخصوصية
  • اتصل بنا

اكتب كلمة البحث ثم اضغط على زر Enter